
初診時 11歳の女性、八重歯と上下前歯部の叢生を主訴に来院されました。
舌側矯正を希望されていましたが、検査結果を聞いてから決めたいとのことでした。
初診相談当日に検査を希望されましたので、相談のあと、ひととおりの検査を行いました。
.
診断結果:
Angle Class I crowding
Skeletal I (ANB 3.5)
ALD: -8.0/-6.0 mm
OJ/OB: 2.0/0.5 mm
Midline: A/ 2mm shift Lt
.
.

叢生が著しく、外側の矯正であれば4本抜歯になるところですが、舌側矯正を希望されましたので、headgearとIII級ゴム(お口の中にかける小さな輪ゴム)を一生懸命使ってくれれば、歯を抜かずに治療が可能であると御説明しました。
ひろ矯正歯科では、矯正バンドは殆ど使いませんが、headgearを使うためにバンドをセットしました。
Headgear でスペースを確保し、 III級ゴムで下顎前歯の flare out(前方傾斜)を防いでゆきます。
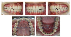
写真は headgear開始から 7ヶ月後、 上下にブラケットを装着した当日です。
装置は私が開発した “mienai bracket” を使用しています。
.
.

装置を付けてから3ヶ月後です。すでに八重歯は改善されてきています。
.
.

装置を付けてから 1年8ヶ月です。Hedgearは必要無くなりましたので、上顎臼歯の矯正バンドを外して、接着にかえました。ここから細部の仕上げを行って行きます。
.
.

装置を付けてから 2年 9ヶ月です。上顎前歯の torque(横から見たときの傾き)や Smile line、臼歯部の僅かな調整に苦労して予定の治療期間を超過してしまっていますが、何一つ文句も言わず、一生懸命頑張ってくれました。
.
.

治療期間はちょうど3年、27回の調整を行い治療が終了し、矯正装置を除去しました。
写真は装置を外した当日の写真ですので、裏側の歯肉辺縁が赤くなっていますが、歯周ポケットはなく、赤い部分は1ヶ月後の来院時には綺麗に引き締まった歯肉になっていました。
かかった費用は、初診相談料、検査・診断料、抜歯料、矯正基本料、調整料、消費税等を含め総額で 139万 3,700円でした。
治療期間が予定よりも1年延長しましたが、とても喜んで頂く事が出来ましたので、一生懸命治療した甲斐がありました。
.
.