
初診時 21歳の女性、出っ歯を主訴に来院されました。
初診相談後、検査を希望されましたので、同日ひととおり検査を行いました。
診断結果:
Angle Class Ⅱ
Skeletal Ⅱ(ANB 8.9)
ALD: 1.0/-1.0mm
OJ/OB: 6.0/3.0mm
Midline: A/A coincident with Facial midline

検査・分析の結果、右上 4番、左上 4番、右下 5番、左下 5番目を抜歯し、矯正治療を開始しました。
患者さんの希望により、上下とも外からは見えない裏側に矯正装置を付けました。
ブラケットは特注の Mienai bracketを使用しています。

治療開始から 3か月後の状態です。

治療開始から 1年 6か月後の状態です。
上顎前歯の前突が改善され、抜歯した部分が閉じていることが分かります。

治療開始から 2年 3ヶ月後の状態です。
細かな調整を行っているところです。

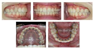
治療開始から 27回の調整を行い、2年 5ヶ月で治療が終了し、矯正装置を除去しました。
上顎の前突は後退し、綺麗な歯並びになりました。
また、抜歯した部分の隙間は完全に閉じています。
写真は装置を外した当日のため、裏側の歯肉辺縁が赤くなっていますが、歯周ポケットはなく、1ヶ月後の来院時には綺麗に引き締まった歯肉になっていました。
かかった費用は初診相談料、検査・診断料、抜歯料、矯正基本料、消費税等を含め総額で 1,400,300円でした。

治療終了から3年後の状態です。
治療終了時の綺麗な歯並びを維持しています。
ayoyanu