
初診時 23歳の女性、叢生を主訴に来院されました。
初診相談後、一度考えたいとのことで帰られましたが、後日御連絡をいただき、ひととおり検査を行いました。
診断結果:
Angle Class Ⅱ (Rt: 7mm、Lt: 6mm)
Skeletal Ⅰ (ANB 4.0)
ALD: -9.0/-9.0 mm
OJ/OB: 3.0/3.0 mm
Midline: A/ 3mm shift Lt
nuawanu

他の矯正歯科では間違い無く外科矯正となる症例ですが、検査・分析の結果、外科矯正は行わず、右上 4番、左上 4番を抜歯し、矯正治療を開始しました。
患者さんの希望で、上下とも外からは見えない、裏側に矯正装置を付けました。
写真は 2000年6月、この頃は私のオリジナルのリンガルブラケットはまだ本格的に治療には用いていませんでしたので、大きく、違和感と発音障害の著しい Ormco社製 KURZ Applianceを使っています。
このブラケットは、本当に問題の多いブラケットでした。

治療開始から 4ヶ月後の状態です。

治療開始から 8ヶ月後の状態です。

治療開始から 1年後の状態です。

治療開始から 1年 5ヶ月後の状態です。
細かな仕上げを行っているところです。

治療開始から 23回の調整を行い、1年 11ヶ月で治療が終了し、矯正装置を除去しました。
凸凹だった歯並びは綺麗になり、抜歯した部分の隙間は完全に閉じています。
写真は装置を外した当日のため、裏側の歯肉辺縁が赤くなっていますが、歯周ポケットはなく、1ヶ月後の来院時には綺麗に引き締まった歯肉になっていました。
かかった費用は、初診相談料、検査・診断料、矯正基本料、抜歯料、調整料、消費税等を含め総額で 853,750円でした。

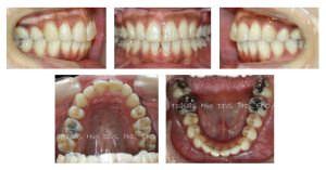
治療終了から3年後の状態です。治療終了時の綺麗な歯並びを維持しています。

治療終了から19年後の状態です。
綺麗な歯並びを維持しています。