第35回甲北信越矯正歯科学会学術大会がオンデマンドで開催されました。
本大会に於いては、松本歯科大学歯科矯正学講座教授 岡藤範正先生から講演を依頼されましたので、「日本矯正歯科学会専門医試験に合格したリンガルマルチブラケット法症例」という演題で30分間の講演を動画配信で行いました。
一般に、リンガルマルチブラケット法による治療は、外側からのマルチブラケット法に比べて、治療期間が長く、治療結果も劣ると言われることが多く、さらに、リンガルの治療は、装置が舌側に位置するため、会話が困難になる、激しい舌痛を伴う、著しい歯根吸収を起こす、顎関節症の原因になる等々、リンガルの治療そのものが良くないとコメントする歯科医師が多いのですが、私は、30余年リンガルを行っており、新しいIndirect bonding systemの開発、オリジナルの小型ブラケットの開発、通説となっているメカニクスの盲点など、リンガルに関連する問題点を1つづつ解決することで、ラビアルと同じ良好な結果を、ラビアルと同じ治療期間で得ることが可能となりました。
ただし、これはSelf esteem であってはならないと考え、第三者評価を得ることを目的として、European Board of Orthodontics, M-Orth RCSEd, World Board of Lingual Orthodontics, Angle membership case presentationなどに演者の治療したリンガルの治療記録を提出した結果、全て合格しました。
審査が厳格なことで知られる日本矯正歯科学会の専門医試験に於いても、リンガルの症例を提出して、全て合格していますので、今回、その治療例を一部紹介し、海外での専門医試験、例えばアメリカのABO、ヨーロッパのEBOなどについても詳細を御説明し、キーポイントも解説させて頂きました。

最初は私の海外での活動を御紹介し、


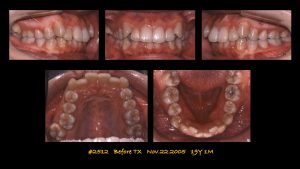
症例 1:日本矯正歯科学会専門医試験に合格した症例


症例 2:World Board of Lingual Orthodonticsに合格した症例


症例 3:日本矯正歯科学会専門医試験に合格した症例

Chin capは効かないと思っている先生がいますので、Class III bookを紹介しました。


症例4:European Board of Orthodonticsに合格した症例