かかりつけの歯科医院で「この子はアゴが小さくて歯が入りきらないから、アゴを拡げなければいけない」、「早くしないと間に合わない」、「早く始めれば早く終わる」などと言われたために、セカンドオピニオンを求めて ひろ矯正歯科に来院される方が後を絶ちません。
先日も 3歳の子が S市の歯科医院で同様に言われて、不審に思った親御さんが相談に来られました。
私はズバリ、「アゴを拡げる必要はない」ということ、「拡大床では歯が動くだけでアゴは拡がらない」ということ、その理由と成長発育について説明をし、「3才の子にそんなデタラメなことを勧める歯医者には2度と行かない方が良い」とお話してお帰り頂きました。
しかし、こんな滅茶苦茶なことを言い、患者さんの治療のことよりも、自分の収入、医院の経営を第一に考える歯医者が無くならないのは本当に困ったものです。
こんなデタラメな歯医者を見抜くには、患者さん自身が正しい知識を持つことは絶対条件ですが、歯科医師側にも理解を求める必要があると考え、「矯正治療の必要性とタイミング」という演題名で、ひろ矯正歯科 めぐみ先生が塩筑歯科医師会 12月学術例会にて講演しました。
以下、内容を御紹介させて頂きます。
これらは、お子さんを持つお父さんお母さんの皆様に覚えておいて頂きたいことですので、御一読頂ければ幸いです。
まず、乳歯列期に矯正治療を開始する必要は無いということです。
乳歯列期の前歯部反対咬合の半分は、上顎前歯が永久歯に生え替わるときに自然と改善します。
なぜなら、上顎乳前歯は歯軸が立っているのに対し、上顎の永久前歯の歯軸は前方へ傾斜しているからです。
非常に稀に、両親ともに骨格性の下顎前突で、子供もかなりの骨格性の問題がある場合には、6歳頃から成長のコントロールをすることがありますが、乳歯列期に治療を開始することはありません。
乳歯列期、混合歯列期に、ムーシールド、プレオルソ、小児用マウスピースなどを勧める先生が多いですが、その歯医者、成長発育を全く理解していません。
一度その歯科医に一体何を考えているのか問い詰めてみたいものです。
混合歯列期はどうでしょうか。
成長のピークは、女の子が11歳くらい、男の子が大体14才くらいです。
骨格性の上顎前突、下顎前突の治療は、成長を利用して治療しますので、成長が緩やかな時期に治療しても治療の効果は出にくく、「早く始めれば早く終わる」どころか、逆に治療期間が延びてしまいます。
開咬は、舌癖や指しゃぶりなどの習癖改善を指導しますが、アゴを拡げたりはしません。アゴを拡げるのは、上顎の臼歯が下顎の臼歯よりも内側に咬合している場合のみです。
片側性の臼歯部交叉咬合は、下顎が機能的に偏位していれば、偏位を是正する治療はしますが、混合歯列期にブラケットをつけることはありません。
正中離開は正中埋伏過剰歯があれば抜歯、上唇小帯が原因であれば小帯の切除を行うことがありますが、過蓋咬合や叢生などは、基本的に永久歯が全て萌出してからの治療になります。
しつこいようですが、「早くしないと間に合わない」、「早く始めれば早く終わる」とか、パノラマを見せて「歯が入りきらないから顎を拡げましょう」などと言う先生が多いですが、これらはみんな間違っています。
スーパーなどで上顎の前歯4本だけ矯正装置を付けている子を見かけますが、矯正治療は第二大臼歯まできちんと治療しなければなりませんので、第二大臼歯が萌出してこないと、治療期間が延びてしまい、早く終わるどころか逆に治療期間が長くなります。
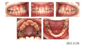
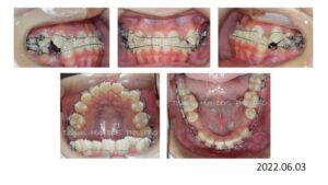
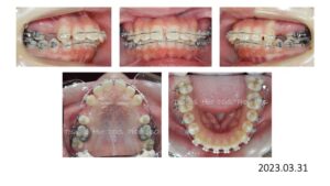
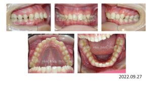
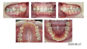
この患者さんは、8歳の時にM市の小児歯科医院でこのパノラマ写真を見せられて、顎が狭いので歯が入りきらない、顎を拡げなければいけない、早くしないと間に合わない、といわれ、治療を開始したそうです。


8歳時の模型では、将来的に叢生は予想されますが、模型を見る限り特に拡大する必要性はありません。

早くしないと間に合わない、という歯科医の言葉を信じて8才から拡大を開始したものの、16歳になっても、まだ拡大が終わらないため、親が不信感を抱いて、ひろ矯正歯科に来院されました。

その小児歯科医曰く、左下3番が入らないので、まだ拡大は続けなければいけないと言っていたそうです。

第一大臼歯間距離が52ミリもあり、広すぎます。
それでもまだスペースは不足しており、前歯は突出して、患者さんは口が閉じにくいとのことでした。

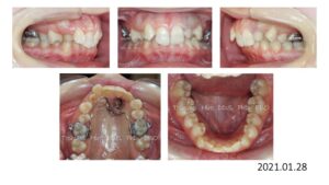
パノラマでは、埋伏智歯が7番を圧迫しており、右上には8番だけでなくて過剰歯もあり、7番の遠心には骨はありません。

親不知のデンタルレントゲン所見です。
抜歯依頼した口腔外科では、7番は持たないと言われました。
この歯科医院では、8年もの間、こういったチェックは一切されていなかったということです。
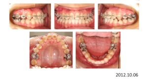
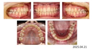
この患者さんは、初診相談のあと、転院を希望され、ひろ矯正歯科で治療をすることとなりました。
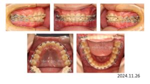
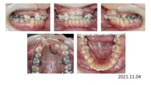
検査、診断の結果、上下顎前突と診断、上顎両側4番、下顎両側5番を抜歯し、患者さんの希望により、舌側矯正で治療を開始しました。
埋伏している 8番は抜歯を依頼しました。

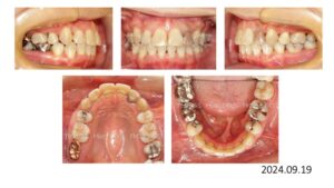
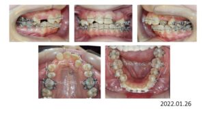
治療開始から 1年 4ヶ月で抜歯空隙は既に閉鎖し、細部の仕上げに入ります。

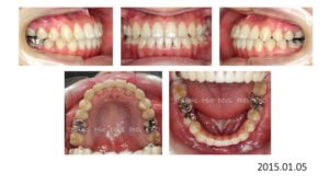
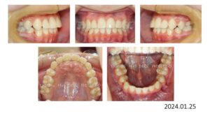
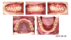
治療終了時の写真です。
動的治療期間は、1年 5か月です。
上顎前歯は 8㎜、下顎前歯は 4㎜後退し、口が閉じれないという主訴も改善されました。

治療終了時のパノラマです。
傾斜していた7番もアップライトされ、全ての歯の歯根が平行に排列されていることがおわかり頂けると思います。
歯が入り切らないから顎を拡げましょうと言われて、8年もの間、拡大を続けましたが、結局この患者さんは、抜歯しなければいけない結果となりましたので、8年間、全く無駄なことをやっていたことになります。
もう1症例紹介します。
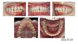
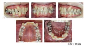
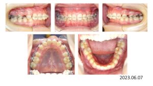
8歳の時、I市の歯科医院で、顎が狭くて歯が入りきらない、顎を拡げなければいけないといわれ、治療を開始したそうですが、6年経っても治療が終わらないどころか、写真のように全く噛み合っていないために、14歳の時にセカンドオピニオンで ひろ矯正歯科に来られました。

臼歯関係は、右が 4㎜ II級。左が 7㎜ II級で、7番しか咬合しておらず、著しい開咬を呈していました。

これは、拡大を始める前の写真ですが、口腔内写真を見る限り、拡大する必要はないです。

8歳からリンガルアーチで拡大を開始し、3年間拡大を続け、12歳でマルチブラケットを付けて治療を開始したそうですが、開咬が治らないためにアンカースクリューを4本打って治療を続けたとのことです。

こんなスクリューじゃあ何の意味もありません。
まさにやっている事がデタラメです。

ひろ矯正歯科に来られた時には、口腔内清掃状態は悪く、全ての歯が齲蝕でボロボロ、要治療でした。
治療中はブラッシング指導は一切無かったそうです。
検査、診断の結果、この患者さんは矯正のみで治療することは不可能、上下顎骨の離断が必要で外科矯正となりました。
この患者さんも歯が入らないから、顎を拡げましょうと言われ拡大を続けましたが、治療前の状態をみると、判断を誤っていることがわかります。
この歯科医院、性懲りも無く、まだマウスピース矯正など、あくどい診療をしているようです。
では、パノラマレントゲンで永久歯の萌出余地が無さそうに見えたら、顎の拡大は必要なのでしょうか?
拡大しないで経過観察すると、どうなるのでしょうか。

この患者さん、パノラマで診ると永久歯の入るスペースが無いように見えますが、

1年後、永久歯はきちんと萌出しています。
まだ乳歯はありますが萌出するスペースは十分です。

この患者さんはどうでしょうか?
永久歯が入るスペースがないように見えます。

1年後です。

3年後、全ての永久歯はきちんと入りました。
何も治療はしていません。
もちろん、アゴを拡げたりしていません。
もう1症例、8才4ヶ月の患者さんです。

パノラマでは、永久歯が入るスペースが足りないように見えます。

4年後です。治療は何もしていません。

さらに2年後、全ての歯がちゃんと萌出しました。
パノラマレントゲンはその特性上、臼歯部が重なって映ります。
すべてに当てはまるわけではありませんが、乳歯列期や、混合歯列期のパノラマ写真を見て、永久歯が入りきらないから顎を拡げましょうというのは、判断が誤っており、その治療は無駄なだけでなく、とても危険なことだと言えます。
だからと言って、ひろ矯正歯科では、拡大を一切しないわけではありません。
混合歯列期の拡大床は有り得ませんが、本当に拡大が必要な患者さんには、永久歯列期に急速拡大装置を使います。
急速拡大装置は歯槽基底幅径や歯列弓幅径が狭い場合に使用します。
顎整形力を作用させるため、力は上顎骨全体に及び、正中口蓋縫合が広がり、その後骨が新生していきます。
実際に急速拡大装置を使用した症例を見ていただきます。

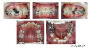
13歳女児。
上下の叢生と反対咬合を主訴に来院されました。
何処に行っても外科矯正と言われ、絶対に手術はしたくないと泣きついてきた患者さんです。
前歯も臼歯も、上顎歯列が下顎歯列とクロスしている、トータルクロスバイトですが、診断の結果、矯正のみで治せると診断しました。

最初に急速拡大装置を装着して上顎骨の拡大を開始。

目的のところまで拡大したあと、上顎にブラケットを付け、開始から9ヶ月後に急速拡大装置を除去、下顎にもブラケットを装着し、

無事、治療が終わりました。
急速拡大開始からマルチブラケットが外れるまでの動的治療期間は 3年です。
この患者さんは、現在、治療後10年経過していますが、今も良い状態を保っています。
永久歯列期の治療例は、実際にめぐみ先生が治療した症例を御覧下さい。
まずは、下顎前突です。

13歳の女の子、反対咬合と叢生を主訴に来院されました。

チンキャップで下顎の成長抑制を行いつつ、上顎両側5番、下顎両側4番を抜歯し、上下顎にブラケットを付け、

下顎前歯部をリトラクションし、反対咬合を改善し、ここから細かな調整に入ります。

治療が終わりました。
動的治療期間は 1年 9か月です。
次の症例は上顎前突です。

13歳の女の子、出っ歯を主訴に来院されました。

上顎両側 4番抜歯後、ヘットギアを装着し、上下顎にブラケットを装着しました。

上顎前歯のリトラクションが終わり、細かな調整に入ります。

2年 6か月で動的治療を終了しました。
次の症例は叢生です。

50歳の女性です。娘さんがうちで治療した数年後、自分も歯並びを治したいと希望され、治療を開始しました。

上下両側4番抜歯後、上下顎にブラケットを付け、

スペースクローズが終わり、細部の仕上げを行い、

治療期間 2年 7か月で動的治療を終了しました。
人前で笑えるようになりました、と、とても喜んで頂く事が出来ました。
次は過蓋咬合です。

15歳の男の子、叢生と過蓋咬合で下顎前歯が見えないことを主訴に来院されました。

上顎両側4番を抜歯後、上顎にブラケットを付け、レベリング後、上顎前歯部の圧下を開始。

上顎前歯部の圧下が完了し、下顎にブラケットを付け、

2年7ヶ月間の動的治療をもって治療を終了しました。
上顎前歯の圧下量 4.5㎜、後退量 7.0㎜、治療前に Overbiteが深かったので、後戻りを考慮して浅く仕上げてあります。
埋伏歯の症例、これは院長が治療した症例です。

25歳女性 上顎前歯部の叢生、上顎両側C残存を主訴に来院されました。
上顎両側 2番欠損、左上 3番が口蓋側に埋伏してます。

左上 3番の開窓後、リンガルアーチにて牽引開始。

上顎前歯部にブラケット装着。左上3番の牽引をしながら、前歯部の圧下を行っています。

上顎両側C抜歯後、側方歯にもブラケット装着、埋伏していた3番もだいぶ出てきました。
下顎にブラケットを装着し、左上3番のレベリングを行っています。

治療後です。
動的治療期間は、3年 5か月と、長期間かかりましたが、患者さんにはたいへん喜んで頂く事が出来ました。
矯正治療を行う上で、一番大切なことは、詳しい検査と正しい診断です。
コロナなのか、インフルエンザなのか、正しい診断が必要なのと同じです。
拡大の症例でお見せしたように、診断が間違っていれば、治療をしても治りません。
そして、必要な時期に必要な治療をする。
タイミングが間違っていれば、治療期間は延長し、良好な治療結果も得られません。
ひろ矯正歯科では、治療開始はまだ早いと判断した場合には、手を付けずに定期的にチェックを行い、いちばん良いタイミングで治療を開始しています。
治療しようかどうしようか迷っている患者さんに対し、強引に治療を勧める事はありません。
患者さんの理解を得て、患者さんに喜んで頂けるよう、精一杯頑張っております。
以上、めぐみ先生の講演内容を御紹介させて頂きました。