2025年7月17日、例年どおり長野県公衆衛生専門学校伊那校にて「矯正歯科における歯科衛生士の役割」という演題で、180分の特別講義をさせて頂きました。
ひろ矯正歯科は長野県公衆衛生専門学校伊那校の臨床研修先として指定されており、毎年実習生(3年生)が見学に来られます。
矯正歯科専門の医療機関で実習を受けても、なかなか矯正治療に関する理解が得にくいのが実情で、興味さえも沸かないのではないかと、先生とお話して、20年程前から毎年7月に矯正歯科に関する特別講義をしに行くようになりました。
講義の日は午前中〜15:00まで休診、朝 7時半にひろ矯正歯科に集合し、歯科衛生士4名、めぐみ先生と運転手の私がエスティマに乗り込んで伊那に向かいました。
岡谷ジャンクションで工事のため、普段は 5分もあれば通過できる箇所が 40分かかり、朝 9:00からの講義に遅刻しないか気を揉みましたが、なんとか間に合いました。

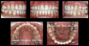
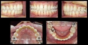
トップバッターは私、矯正歯科の意義と目的にはじまり、舌側矯正症例10数症例を紹介しました。

次はめぐみ先生、なかなか話が上手いです

歯科衛生士 4人が交代で、歯科衛生士の役割と業務内容についてお話し

例年どおり、マネキン実習。
やったことが無いと思いますので、貴重な体験だと思います。

マネキン実習の間は Cannesの ESLOで講演したヒロシステムの IDBSの動画を流しながら、アシストのキーポイントについてお話ししました。
公衆衛生専門学校の学生さん達は毎年、とても熱心に聞き入ってくださり、私たちの話に頷きながらノートを取っている人が多く、話していてもやりがいがあります。
私は話し慣れていますが、スタッフのみんなは、人前で話すプレッシャーもあり、準備も大変だったと思いますが、みんな上手く講義をしてくれました。


帰り道、菓子庵 石川に立ち寄り小休憩、酷使した喉を潤します。
その日は、診療を 18時で切り上げて、毎日頑張ってくれているスタッフを労うために、おこ本でお食事会です。

お疲れサマ〜!
何故か、僕はビール 2杯持っています、、(^^;)

この店員さん、すご〜い!
今までで一番遠くからマヨネーズをこぼすこともなく、お好み焼きに命中させていました。

みんなお腹いっぱい、楽しいひとときでした。
またお食事会企画しますね。
皆さんにとって、「親」とは どうゆう存在でしょうか?
友達/兄弟のように肩を組んで街を歩いている仲良し親子もいれば、親に話す時には敬語を使う人もいます。
赤ん坊が泣き止まないことにキレて、マンションの窓から子供を投げ捨てて殺してしまう親もいれば、アメリカでは朝御飯の目玉焼きの焼き方が気に入らずに母親と口論になって母親を銃で射殺したという事件もあります。
ゴールデンウイークが始まって間もない日の早朝、携帯が鳴りました。
こんな時間に誰かな、と、胸騒ぎしつつ携帯を取り上げてみると、発信者は国立病院。
ん? なんで国立病院? と、不思議に思いつつ出たら、「お母様が心肺停止の状態で搬送されました」とのこと。
「ええっ!!」と、大声で叫んでしまいました。
昨日はあんなに元気だったのに、と思いながら大急ぎで支度をして病院に向かいましたが、着いたときには既に帰らぬ人となっており、病院の廊下のベンチに父がポツンと1人寂しそうに座っていました。
父のところに行くと、「かあさん、死んでしもたわ」と、小声で言いました。
父は強いというイメージでしたが、こんな弱々しい父を見たのは初めてでした。
前夜、寝入った後にトイレに起きたらしく、トイレだけにしておけば良かったのに、居間の留守電を見に行って、目眩で倒れてフローリングの床で後頭部を強打、ベッドに戻って寝たそうで、明け方、母の異常に気付いた父が救急車を呼び、救急隊員により救急蘇生をして頂きましたが、既に手遅れで、そのまま帰らぬ人となってしまいました。
死因は頭部外傷による急性硬膜外血腫と診断されました。
私は幼い頃から三重県四日市市で育ちました。
松本歯科大学への入学を機に 18歳から信州で生活するようになり、卒業したら三重に帰って GPで開業するつもりでしたが、卒業が近づくにつれて矯正歯科を勉強したいと思い、卒業後も大学に残って 10年間、矯正歯科と咬合を専門に勉強しました。
今でこそ矯正歯科専門医はたくさんいますが、当時は矯正専門で開業する歯科医師は殆どいなかった上に、しかも人口 6万人の塩尻市で専門開業すると聞いた医局の先輩達からは、アホだのキチガイだの笑われ、さんざん言われました。
開業当初は当時の歯科医師会長と専務から信じられないような洗礼を受け、毎日が本当に大変で、自分の事だけで精一杯でしたが、諸々の事情で親を信州に呼びました。
歯医者の中には2世3世で経済的に苦労した事が無い先生もいますが、うちの親は畑違いでしたので、兄と私を学費の高い私立の歯科大学を卒業させるというのは、本当に大変な苦労だったと思います。
学生時代、私は絵に描いたようなバカ息子で、親の苦労など考えた事もなく、当たり前に大学に行き、当たり前にメシを喰っていましたが、自分で開業してみて、医院を守って行くことがどれだけ大変なことか、家族を養って行く事がどれほど大変なことか知り、親が自分の生活よりも私たち優先にやってくれたことに自然と感謝出来、今日のメシが食えるのも、自分が矯正歯科専門医として活躍出来るのも、海外の学会で講演出来るのも、親が歯を食いしばって歯科大を出してくれたおかげなんだ、親を大切にしなければ、と思うようになりました。
死んでから100回墓参りしても墓は墓、死んでからアレしてやれば良かった、コレしてやれば良かったと後悔しても遅いので、元気なうちに自分に出来る限りの事はしようと、親が信州に来てから30年間、一緒に出掛け、一緒に食事に行き、一緒に旅行に行き、正月は一緒におせちを食べ、お盆には一緒に伊勢にお墓参りに行き、誕生日にはプレゼントを持って食事に行き、、、自分の事は親が死んでからで良い、親が生きている間は親優先、と、出来る限りのことをしてきたつもりでした。
死んでから、母がつけていた日記が出て来ました。
親という字は「立木に上って 我が子の帰りを心配して 遠くを見る」と言われますが、私が毎週末、顔を出すのを楽しみに待っていたようで、出張などで2週間3週間行けなかった時、「俊明は今週も来なかった」と、寂しそうに綴ってあるのを読むと悲しくなります。
母は 10年ほど前から水頭症で目眩と頭痛に苦しんでおり、松本市の脳神経外科専門病院では V-Pシャント手術を勧められましたが、母は怖がって手術をせずに市内の脳神経外科開業医と国立病院で経過を観察してきました。
目眩でしょっちゅう転んで大怪我をしており、日記を読むと、自分が思っていたのよりも遥かに苦しんでいたようで、オレは何をしていたんだと、悔しくて仕方が無いです。
最終的にはタップテスト、L-Tシャント手術を半ば強制的に受けさせましたが、遅すぎた、何故もっと早く助けてあげられなかったのか、と思います。
母は元気な頃から「ピンコロで逝きたい、人に迷惑かけたくない」といつも言っていましたので、背骨を折ってから急に具合が悪くなり、車椅子を買って持って行ったり、介護トイレを買って持って行ったり、あれこれ世話をするたびに、「こんなことまでして貰って、すまんなあ、すまんなあ」と、泣いてばかりでした。
GWに逝ってしまったのは、私の仕事に迷惑かけないように気を遣ったのか、いろいろ準備をして、前日には久しぶりに晩御飯を作ったことなど、自分の死期を悟っていたのか、と思わざるを得ません。

元気な頃はゴルフが大好きで、父とあちこち旅行に行き、ゴルフを楽しんでいました。

死ぬ直前、デイサービスで散髪をしてもらって、サッパリとした髪型でした。
嬉しかっただろうな、と思います。
地球上の全てのものに始まりがあり、終わりがあります。
生命も然りで、生きているものは、必ず死にます。
人それぞれ、育った環境も違えば、親や家族との関係もそれぞれでしょうが、
「親孝行 したい時には 親はなし」です。
死んでから後悔することのないように精一杯やっていても、いざ死んでしまったら、あの時アレしてあげれば良かった、コレもしてあげたかった、と、悔やんでも悔やみきれないです。
皆さん、1日1日を大切に、精一杯生きて下さい。
親兄弟だけでなく、すべての人に優しく、出来る限りのことをしてあげてください。
みんな疲れたね〜
何か美味しい物食べに行こうか〜
何食べたい〜?
って聞いたら、
焼肉〜!
ってことになって、みんなで東山食堂に焼肉を食べに行って来ました〜。

和気あいあい、楽しいお食事会でした

次から次へと運ばれて来る美味しいお肉をおなかいっぱい頂きました

東山と言えば、この煙ですよね!

ふう〜、おなかいっぱい〜
またやりましょう!